9824073683
contact us
Checking your teeth for tooth decay is just one part of a thorough dental examination. During your checkup appointment, your dentist (or dental hygienist) will likely evaluate the health of your gums, perform a head and neck examination (to look for anything out of the ordinary) and examine your mouth for any indications of oral cancer, diabetes or vitamin deficiencies. Don’t be surprised if your dentist also examines your face, bite, saliva and movement of your lower jaw joints (TMJs). Your dentist or dental hygienist will then clean your teeth and stress the importance of you maintaining good oral hygiene at home between visitsile evaluation
Teeth cleaning (also known as prophylaxis, literally a preventive treatment of a disease) is a procedure for the removal of tartar (mineralized plaque) that may develop even with careful brushing and flossing, especially in areas that are difficult to reach in routine tooth brushing. It is often done by a dental hygienist. Professional cleaning includes tooth scaling and tooth polishing and debridement if too much tartar has accumulated. This involves the use of various instruments or devices to loosen and remove deposits from the teeth.
A dental restoration or dental filling is a dental restorative material used to restore the function, integrity and morphology of missing tooth structure. The structural loss typically results from caries or external trauma. It is also lost intentionally during tooth preparation to improve the aesthetics or the physical integrity of the intended restorative material. Dental restoration also refers to the replacement of missing tooth structure that is supported by dental implants.
Tooth decay, trauma or cracks can cause the nerves of teeth to die. When this occurs your tooth can often still be saved with root canal therapy. Severe pain, swelling, sensitivity to hot or cold, or a darkening tooth, are signs that a root canal problem exists. The purpose of root canal therapy is to eliminate tooth pain.
Root Canal Treatment is, in short, a treatment for tooth pain that involves cleaning the tooth and removing the infection which is causing the pain. The cleaned tooth is then protected from further infection by treating them with a solution and inserting fillings. Bhalla Dental Clinic offers highly cost-effective, painless root canal treatment in India.
A root canal is actually a hollow space that exists within the tooth. Bacteria living in the mouth or those from the food substances we eat gradually move into this hollow space. From there, they move on to the nerves and tissues and the base of the tooth through the “canal.” When the amount of bacteria affecting the nerves goes above your tolerance level, your tooth starts to ache. This is when you need to undergo a root canal procedure.
During a root canal procedure, the dentist will remove infected blood vessels, tissues and nerves from the tooth, irrigate the hollow to get rid of the contamination and then fill up the pulp of the tooth. The tooth is then shaped so that a crown can be fixed over it. As a result, the tooth is reinforced and looks natural.
First, the dentist will give you local anesthesia – this means an injection near the bad tooth. Other than this little prick, you won’t feel much pain throughout the procedure. Then he proceeds to drill away the top part of the infected tooth to expose what is called the “pulp” of the tooth. The pulp is a bunch of tissues, nerves, arteries and veins that connect your tooth to your jaw bone. This is the part that bacteria have eaten away and damaged, causing you toothache.
Now local dentist uses small “files” to chip away and remove the part of the pulp that is infected. He will also clean out small pathways, or “canals,” that run from your tooth to your bone. Then he sprays/places medicines in the hollow to kill any remaining germs and prevent further microbial infection. Finally, the cleaned area is temporarily stuffed with a soft material.
On further sittings, the hollow is packed with “fillings” and then a permanent crown is affixed on top of the treated tooth. This crown may be made of porcelain or metal, as per your choice.
You may have some pain, soreness or swelling for a day or two after the procedure. The dentist may decide to prescribe you painkillers and antibiotics to help in recovery. Most people can resume normal routine within 24 hours.
Chances are that you’re considering having a dental crown, more than one crown or a permanent bridge designed. To assure the most esthetic and functional results possible, your cooperation and understanding are especially important to us. In this page we’ll take you, step by step, through dental crown and bridge treatment.Why Replace Missing Teeth? Losing a tooth can be of social and psychological concern. Teeth are lost for a number of reasons including:
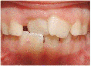
When a permanent tooth is lost, the neighboring teeth are affected. Because the support and chewing forces are altered, the remaining teeth will begin to shift. The tooth above or below the one that was lost will begin to move up and out of its socket. This accelerates periodontal (gum) disease and causes further breakdown in the dental arch. If the missing tooth is not replaced, more teeth will eventually be lost, due to the improper forces exerted during chewing.
The dental crown and bridge treatment is a
long-term method of replacing missing
teeth.
A tooth crown is placed on an individual tooth, (somewhat like a thimble
over your finger) where there is no longer sufficient tooth structure left to place a
filling.
A tooth bridge spans a space where one or more teeth have been lost in the dental arch. The teeth on either end of the span are crowned, and are referred to as abutments. The false teeth in a bridge that join the abutments are referred to as pontics. The dental crowns and dental bridges are most often made from superior materials such as precious metals (gold), semi-precious metals, porcelain or a combination of metal fused to porcelain.
Both aesthetics (appearance) and functions are considered when selecting the material most suitable for you. The dental crown costs offered by restorative dentistry are affordable.
At the first dental appointment, a thorough oral examination, evaluation of your dental history and necessary X-rays are completed. The diagnosis is based on these three factors. Once it has been determined that dental crown and bridge treatment is indicated, you will be set up with a series of appointments.
Note: It’s important that you keep all of these appointments.
You see, your dental crown procedure occurs in a planned sequence. Missing or postponing your appointment may cause treatment delays, allowing further tooth movement before treatment can be completed.
The tooth or teeth to be treated are numbed with an anesthetic. Sometimes you can expect the side of your face to feel numb, as well. Next, during the preparation phase, your tooth or teeth to be crowned are trimmed down. This allows sufficient space for the crown or bridge to fit. After this preparation stage has been completed, an impression of that area of your mouth is taken. Your teeth will be fitted with temporary coverage until your next appointment.
At the following appointment, the crown or bridge is adjusted for proper fit, prior to permanent placement. It is often necessary to fine trim and polish the new crown or bridge.
Other factors we consider include:
Replacing Missing Teeth:
A removable partial denture (RPD) is a denture for a partially edentulous patient who desires to have replacement teeth for functional or aesthetic reasons and who cannot have a bridge (a fixed partial denture) for any number of reasons, such as a lack of required teeth to serve as support for a bridge (i.e. distal abutments) or financial limitations. This type of prosthesis is referred to as a removable partial denture because patients can remove and reinsert it when required without professional help. Conversely, a "fixed" prosthesis can and should be removed only by a dental professional.
Dentures, also known as false teeth, are prosthetic devices constructed to replace missing teeth; they are supported by the surrounding soft and hard tissues of the oral cavity. Conventional dentures are removable (removable partial denture or complete denture). However, there are many denture designs, some which rely on bonding or clasping onto teeth or dental implants (fixed prosthodontics). There are two main categories of dentures, the distinction being whether they are used to replace missing teeth on the mandibular arch or on the maxillary arch.
The primary use of dental implants are to support dental prosthetics. Modern dental implants make use of osseointegration, the biologic process where bone fuses tightly to the surface of specific materials such as titanium and some ceramics. The integration of implant and bone can support physical loads for decades without failure.
Pediatric dentistry is the specialty of dentistry that focuses on the oral health of young people. We are concerned about your child’s total health care. Good oral health is an important part of total health. Establishing us as your child’s Dental Home provides us the opportunity to implement preventive dental health habits that keep a child free from dental/oral disease. We focus on prevention, early detection and treatment of dental diseases, and keep current on the latest advances in dentistry for children. Pleasant visits to the dental office promote the establishment of trust and confidence in your child that will last a lifetime. Our goal, along with our staff, is to help all children feel good about visiting the dentist and teach them how to care for their teeth. From our special office designs to our communication style, our main concern is what is best for your child.
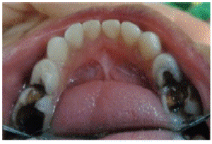
A dental extraction (also referred to as tooth extraction, exodontia, exodontics, or informally, tooth pulling) is the removal of teeth from the dental alveolus (socket) in the alveolar bone. Extractions are performed for a wide variety of reasons, but most commonly to remove teeth which have become unrestorable through tooth decay, periodontal disease or dental trauma, especially when they are associated with toothache. Sometimes wisdom teeth are impacted (stuck and unable to grow normally into the mouth) and may cause recurrent infections of the gum (pericoronitis). In orthodontics if the teeth are crowded, sound teeth may be extracted (often bicuspids) to create space so the rest of the teeth can be straightened.
Dental braces (also known as braces, orthodontic cases, or cases) are devices used in orthodontics that align and straighten teeth and help to position them with regard to a person's bite, while also working to improve dental health. They are often used to correct underbites, as well as malocclusions, overbites, open bites, deep bites, cross bites, crooked teeth, and various other flaws of the teeth and jaw. Braces can be either cosmetic or structural. Dental braces are often used in conjunction with other orthodontic appliances to help widen the palate or jaws and to otherwise assist in shaping the teeth and jaws.

Mouth with oral irregularities is a common way to spread many of physical issues. Our body and mouth can affect one another vice versa. A long, disease-free life is truly attributed to maintaining a better oral care. Our oral health may affect to or may get impacted by different diseases and abnormalities that include.
Endocarditis Abnormal heart condition with infection spread over inner linings of your heart (endocardium). Such condition may usually be activated when there are some organisms like bacteria spread from one body part to another. Mouth is a prime source of bacteria allowing them to travel through bloodstream and worsen infected areas of heart.
Cardiovascular disease Like heart disease, clogged arteries and stroke associated with inflammation and infections triggered by oral bacteria.
Pregnancy and birth Periodontitis associated with premature birth and low birth weight.
Diabetes reducing body immunity power, strengths to fight infection with much likelihood of gum risks. Gum diseases are often much evident in people with diabetes. Research shows the people with gum diseases having much trouble in controlling blood sugar levels. Oral problems such as painful mucosal lesions are typically much present in people with HIV/AIDS.
Osteoporosis Bone weakness and brittleness said to be associated with periodontal bone loss and tooth loss.
Alzheimer’s disease Loss of teeth usually prior to 35 of age, a key factor for Alzheimer’s disease. There are several other conditions that seem to be strongly linked to oral health such as Sjogren’s syndrome, an immune system disorder leading to dry mouth eating disorders.

Dental lasers emit light that deliver quick
pulses of heat energy to
the treatment
area.
Various wavelengths are used depending on the type of tissue being treated. Surgical
lasers are
more accurate than traditional dental treatments and allow the best Dentist in
Ahmedabad to conserve
as much bone and tooth as possible. DocShop can help you find a dentist in your area
today.
Laser
Cavity Detection
A low-powered laser can be used to locate tiny pits within
tooth enamel that can become cavities.
The laser, called DIAGNOdent®, can detect decay early. Once located, the tiny
spots on the tooth can be covered
with a clear sealant in order to prevent cavities.
Lasers for the Removal
of Decay and Damaged Gums Lasers
can also eliminate the need for the dental drill and reduce patients’ fears
about treatment. Laser tools such as
the Waterlase® system and diode lasers can be used to vaporize decay and
treatment is virtually painless, eliminating
the need for anesthesia.
Benefits of Laser Dentistry?
Here are some of the major benefits associated with laser dentistry:
Application of Laser Dentistry
The application of lasers in dentistry opens the door for dentists to perform a wide variety of dental procedures they otherwise may not be capable of performing. Dentists using lasers in dentistry have become adept at incorporating the state-of-the-art precision technology into a number of common and not-so-common procedures.
Hard Tissue (Tooth) Laser Dentistry Procedures
Soft Tissue (Gum) Laser Dentistry Procedures
Other Laser Dentistry Applications
Lasers represent an innovative and more precise technology for specific hard and soft tissue applications. If you choose a laser dentist, you may find that you feel more comfortable and less anxiety during your treatments. There are a variety of uses for lasers in the field of dentistry. Lasers can be used for cavity removal, teeth whitening, gum reshaping, and to harden bonding materials used in fillings. In addition, lasers are used in periodontal care to remove bacteria from periodontal pockets.
Other Uses for Laser Dentistry


Whitening is the general name given to all the cosmetic procedures that whiten the teeth. These are in – office bleaching (professional bleaching), at home bleaching and whitening toothpaste. In – office bleaching is the most common form of Teeth Whitening in Ahmedabad, but at home bleaching and the use of whitening toothpaste are pretty popular too.
Tooth whitening enhances the patients’ smile; It is an effective way of lightening the natural color of the teeth without removing any of the tooth surface.
Anyone who is not satisfied with their teeth
becoming more discolored in
time;
People whose teeth are stained on the surface through smoking, food, drinks
such as tea, coffee or red wine;
People whose teeth are stained under the surface
due to certain antibiotics or small cracks in the teeth;
People who have calculus
or tartar – these are known to cause staining.
People who have brownish-hued teeth should know
that whitening has little effect on their
teeth;
Grayish-hued teeth do not bleach at all;
People who have bonding or
tooth colored fillings ahmedabad in their front teeth; the whitener only works on their
teeth, so the bonding/filling will stand out in the new whitened smile.
In – office bleaching requires more than one visit, with each visit taking about 30 minutes. If the patients chose to have the at home bleaching at the initial visit the dentist will make a mouth guard and will take impressions of the teeth.
The Best Dentist Ahmedabad applies either a protective gel to the patient’s gums or a rubber shield to protect the oral soft tissues. After that he or she uses a bleaching agent that is applied to the teeth; for that the dentist uses a specially made tray which fits into the patient’s mouth like a gum shield. Special laser lights may be used to enhance the action of the bleaching agent. The bleaching agent has an active ingredient, which is usually hydrogen peroxide or carbamide. This active ingredient is broken down and oxygen gets into the enamel on the teeth and the color is made lighter.
In some cases teeth become sensitive during the treatment period, but it is only temporary and lessens once the treatment is finished. Another side effect is soft tissue irritation – it happens in just a few cases, if the tray doesn-t fit properly or if the tissues come in contact with the bleaching agent. Just like sensitive teeth, it goes away once the treatment is over. Should you have such concerns, please discuss them with your dentist.
When there is an acute infection with no pus accumalation in & around the tooth, Root canal treatment in Ahmedabadcan be completed in a single sitting. The biggest diagnostic aid in this case is an X-ray. Which shows presence or absence of pus accumalation in the form of a Periapical Radioluency. X Ray shows Periapical Radioluency.
The Procedure :-
First step is to open the pulp chamber to allow
access to the canals.
Once open,
with help of special instruments known as rotary files the infected nerves is removed.
The canals are flushed with antiseptic solution.
The root canals are further
cleaned & reshaped to free them of all debris with rotary instrument.
Once the
canals are empty dry & clean, they are filled and sealed with biocompatible material
known as Gutta Purcha Points / G.P. Points
The cavity is then filled with
temporarily filling material which is then replaced with a permanent filling material
like composite filling.
A root canal treated tooth should be ideally capped after
15-20 days.
Who is this procedure for?
Different teeth have differing numbers of root
canals, each of which need to be located,
cleaned, and sealed. As an example, front teeth typically just have a single root canal
while molars often have three or more canals.
Will your root canal treatment in
Ahmedabad be completed in just one sitting or will the process be broken up into two
appointments? At times a dentist will feel it is best to clean out a tooth during an
initial visit and then have you return for a second appointment when they will seal up
the interior of your tooth. Equally commonplace, a dentist may feel that it is
preferable to perform both tasks during the same appointment.
What happens before the procedure?
Root Canal Treatment(RCT) is only performed on numbed teeth. This helps ease the pain and the patient is more relaxed. Once the tooth is numbed, the dentist stretches a sheet of rubber around the tooth. It acts like a dam that keeps the saliva uncontaminated with bacteria while the procedure is being performed.
What happens after the procedure?
It is very likely that patients will feel their teeth a bit tender after the procedure. Sensitivity is minimized by the use of analgesic and anti – inflammatory medicine. The dentist will instruct the patients on how to chew on the treated teeth.
Full Mouth Rehabilitation corrects imperfections in bite position and enhances the appearance of the smile. Anyone with short, worn teeth or those that are chipped and broken throughout the mouth would be an excellent candidate. Combining the science of Neuromuscular Dentistry with the artistry of Cosmetic Dentistry, Full Mouth Rehabilitation creates a smile that is functional, comfortable and beautiful.
If you answer yes to any of the following statements, you are a candidate for Full Mouth Reconstruction:
Patients who have many missing teeth or severe deterioration of most teeth, may require a full mouth reconstruction using a combination of restorations, veneers, crowns, bridges, dental implants or partial dentures. The oral cavity is a dynamic environment where changes constantly occur, sometimes quickly but more often slowly over time. Changes can be due to a traumatic accident, periodontal disease, shifting teeth, a lifetime of neglect, a destructive habit such as grinding, or a lifetime of dentistry focusing on one tooth at a time and leaving the mouth resembling a patchwork quilt.
Full-mouth reconstruction, by its very nature can be extremely complex. Dental techniques and technologies have come a long way in the past 30 years and patients are often surprised by what can be done. Correct diagnosis and analysis is important to identify and address the causes of the problems in the treatment plan. Treatment is often a non-surgical, comprehensive approach to getting the upper and lower jaws in proper alignment, removing all decay, repairing all chipped, weakened, and broken teeth, and ultimately, creating a healthy, attractive smile that will last for many years. Once this treatment is completed you can expect a mouth that looks great, feels comfortable, and gives you the confidence to smile. If you are experiencing bite-related problems, feel that your teeth or gums have been allowed to deteriorate or feel your mouth is in poor condition, a full-mouth reconstruction may be the appropriate solution. Our patient here chose a non-surgical option for personal reasons. The patient presented with inadequately fitting upper partial denture and an incorrectly instituted treatment plan resulting over a period of time: multiple loss of teeth that resulted in loss of jaw bone and facial height resulting in an accelerated ageing appearance. We solved the problem by improving the facial height (raising the bite), improving the upper smile line using a combination of porcelain veneers, upper and lower precision milled, highly aesthetic and firm partial dentures to restore the following:
Tooth Replacement Options Some of the general advantages and disadvantages of single to multiple tooth replacement options are listed below.
|
Title |
Advantages |
Disadvantages |
|
Removable Partial Denture |
· Removable – good access for cleaning Cost effective · Very minor tooth reduction required |
· Reduced comfort · Possible clasp display · Gaps visible on removal · Patient intolerance · Food traps, if not properly maintained, can cause dental caries
|
|
Implant replacement |
|
· Areas of large bone loss may require bone augmentation-grafting to improve ridge anatomy/shape for better tooth of gum infection and tooth decay) · Failure can mean considerable damage to supporting structures · Similar cost to implants initially, however high biological |
|
Fixed bridgework |
· Good where adjacent teeth would benefit from crowns |
· Requires considerable tooth reduction (irreversible loss of usually all enamel and sup Requires considerable tooth reduction (irreversible loss of usually all enamel and supporting teeth) and risk of pulp death requiring root canal therapy. · More difficult access for cleaning (risk of gum infection and tooth decay) · Failure can mean considerable damage to supporting structures · Similar cost to implants initially, however high biological cost
· More d Requires considerable tooth reduction (irreversible loss of usually all enamel and supporting teeth) and risk of pulp death requiring root canal therapy. · More difficult access for cleaning (risk
|
The goal of treatment is to properly align the jaw and rebuild damaged teeth.. Teeth are restored with veneers, crowns, or onlays. Depending on the patient, a prosthesis may be used. The result is an attractively enhanced smile using urable materials that will stand the tests of time. Best Dentist in Ahmedabad will help you decide an appropriate treatment plan. This is where the full mouth rehabilitation specialist really shines. Though the specific techniques may vary depending on your needs, our dentist will ensure that the end result is the same-a lovely smile and a more confident you. Root Canal Treatment(RCT) provides the bulk of the clean up work for the body by removing bacteria and tissue irritants that are present inside the tooth.
Cosmetic Dentistry Using a combination of a number of treatment modalities, we guarantee you the most dazzling smile.
This procedures is used to correct minor flaws in the Smile Including chipped teeth, minor gaps between teeth, alteration of the dimensions of the teeth, etc. A tooth coloured composite material is used in combination with various tints to obtain the desired effect.


Both these treatment modalities used either indivually or in combination with each other bring about the true magic of a smile transformation. All defects including, stained teeth, chipped teeth, crooked teeth, excessively small teeth, excessively large teeth, surface defects on teeth, gaps between teeth, overall unaesthetic smile etc can not only be corrected but also the smile can be enhanced to glamorous proportions using Veneers and metal free crowns. Even regular smiles can be enhanced by altering the shade and the smile line to bring it in harmony with the rest of the face.
Minor alterations in the shape and size of the teeth are brought about to enhance the existing smile.
Sometimes the natural contours of the gums are uneven and unsymmetrical producing an unaesthetic smile. Such gums are recontoured to make them look more pleasing and aesthetic.
Black and brown pigments are occasionally present on gums. Such pigments are removed to produce natural and pink aesthetic gums.
In the previous generation, the crowns used for the anterior teeth were mostly ceramic fused to metal crowns, with a metal base coated by ceramic. One of the major drawback of such crowns is the unsightly black metal line seen along the border of the crown along with a mild metallic tint to the overall Crown. At our center metal-free ceramic crowns are also used for all anterior teeth. In such crowns, not only does the metal appearance and black lines disappear but also, in combination with the right tints and translucencies are made to look like real natural teeth and blend beautifully with the adjacent teeth. In fact, it becomes almost impossible to distinguish visually a well done metal free crown from a natural tooth.
Using a combination of the above treatment modalities, mild to extreme smile makeovers and smile enhancements can be brought about to give your totally a glamorous smile!
From subtle changes to major repairs, a Best Dentist Ahmedabad can perform a variety of procedures to improve your smile. There are many techniques and options to treat teeth that are discolored, chipped, misshapen or missing. We can reshape your teeth, close spaces, restore worn or short teeth or alter the length of your teeth. Common procedures include bleaching, bonding, crowns, veneers and reshaping and contouring. These improvements are not always just cosmetic. Many of these treatments can improve oral problems, such as an uneven bite.
Bleaching is a common and popular process used to whiten teeth. Some people get their teeth bleached to make stains disappear, while others just want a whiter shade. Discoloration occurs under the enamel and can be caused by medication, coffee, tea and cigarettes. Discoloration also can be hereditary or due simply to getting older. Most of our patients prefer to have their teeth whitened in the office. We use a system call Zoom!. It is the same one used by Extreme Smile Makeover Treatment . People like this because it is fast and convenient. The typical Whitening process is completed in about an hour. We also offer a custom take-home whitening system. With this, our patients can whiten their teeth at their own convenience. The process usually requires about 5-7 applications and can be finished in one week.
Bonding is tooth-colored material used to fill in gaps or change the color of teeth. Requiring a single office visit, bonding lasts several years. Bonding is more susceptible to staining or chipping than other forms of restorations, such as Veneers. When teeth are chipped or slightly decayed, bonded composite resins may be the material of choice. Bonding also is used as a tooth-colored filling for small cavities. The benefit of bonding is that it can be very conservative and little excess tooth structure needs to be removed.
Crowns, also known as caps, cover a tooth to restore it to its normal shape and appearance. Due to their cost, they are used in cases where other procedures will not be effective. Crowns have the longest life expectancy of all cosmetic restorations, but are not for every situation. Root Canal Treatment(RCT) provides the bulk of the clean up work for the body by removing bacteria and tissue irritants that are present inside the tooth.
Veneers are thin pieces of porcelain or plastic placed over the front teeth to change the color or shape of your teeth. Veneers are used on teeth with uneven surfaces or teeth that are chipped, discolored, oddly shaped, unevenly spaced or crooked. Little or no anesthesia is needed. Veneers are used to treat some of the same problems as bonding. This treatment may be an alternative to crowns.
Tooth reshaping and contouring is a procedure to correct crooked teeth, chipped or irregularly shaped teeth or even overlapping teeth in a single session. Tooth reshaping and contouring is commonly used to alter the length, shape or position of your teeth. Contouring teeth may also help correct small problems with bite. It is common for bonding to be combined with tooth reshaping.
This procedure is ideal for candidates with normal, healthy teeth but who want subtle changes to their smile. We will take X-rays to evaluate the size and location of the pulp of each tooth to ensure that there’s enough bone between the teeth to support them.
When considering dental treatment,
you’ll have many questions –
What will the
changes look like? What should I expect through the course of treatment? What type of
maintenance will be required?
How long will it take? We are here to answer any questions you may have about techniques
used to improve your smile.
The condition of your teeth and the desired result you want often dictates the best
procedure.
Two types


Usually the primary set of teeth will erupt by the age of 3 years and then onwards it remains stable for the rest 3 years
Functions of Primary Teeth:
Why to treat primary
teeth????
Just because your child’s primary teeth, often
known as baby teeth, eventually fall out, doesn’t mean they are not important. Primary
teeth play an important
role in your child’s overall health, development and well-being.
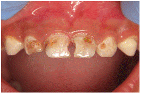
Common problems seen in child’s teeth:

Golden Rules to prevent tooth decay
1. Brush your teeth at least twice daily
2. Eat a balanced diet
3. Avoid eating high sugar and/or high acid foods (cookies, candy, wafers, soda) between meals. Be careful with diet soda, it may not have sugar but it certainly has a lot of acid which is just as bad!
4. Remember that it's OK to eat those sweet treats at meal times! It's not how much you eat, it's how often your teeth are exposed to that abuse
5. Drink water after eating. Water returns the pH of your mouth to a neutral level so it can counteract the effects of acidic and sugary foods. Frequent sips of water also prevents having dry mouth which could further cause cavities and bad breath
6. Don’t forget to clean the spaces in between teeth by flossing
7. Get regular dental checkup at every 6 months. You need to have your teeth cleaned every 6 months in order to preserve your teeth and the bone that supports your teeth
8. Fluoride application
9. Pit and fissure sealant
Myth – Cavities in baby teeth doesn’t matter as they will eventually fall out anyway.
Fact – Children don’t loose their last baby teeth until they are 12 years old. Cavities once formed will grow larger which can ultimately lead to pain and infection. So it is necessary to get treatment done
Myth – Kids don’t need to see the dentist until they are 3 Years old.
Fact – It is recommended that kids start visiting the dentist first time by age 1 or when the first teeth erupts in the oral cavity. s
Myth – I can wait to start brushing until my kid is older enough.
Fact – To prevent cavities, parents should start brushing as soon as the first teeth erupts in the oral cavity.
Need a Doctor for Check-up?
Copyright © 2018 Smile Care Dental Clinic | All Rights Reserved